Can Lung Cancer Be Mistaken For Pneumonia : How To Tell If You Have Pneumonia 8 Pneumonia Symptoms Health Com / Lung cancer definition lung cancer is a disease in which the cells of the lung tissues grow uncontrollably and form tumors.
Dapatkan link
Facebook
X
Pinterest
Email
Aplikasi Lainnya
Can Lung Cancer Be Mistaken For Pneumonia : How To Tell If You Have Pneumonia 8 Pneumonia Symptoms Health Com / Lung cancer definition lung cancer is a disease in which the cells of the lung tissues grow uncontrollably and form tumors.. If you quit smoking, even after smoking for many years. Can skin cancer be mistaken for psoriasis? The air sacs may fill up with fluid or pus, causing symptoms such as a cough, fever, chills and pneumonia symptoms can vary from so mild you barely notice them, to so severe that hospitalization is required. There are some risk factors of lung cancer, and smoking is the leading risk factor. It's so important to continue research and funding for more targeted.
Such cancers can be misdiagnosed as inflammatory lung diseases, delaying accurate diagnosis. Recurrent lung infections, such as bronchitis or pneumonia. It is quite less likely that people confuse merkel cell carcinoma and melanoma with psoriasis. There are some risk factors of lung cancer, and smoking is the leading risk factor. Organising pneumonia (op) is a distinct clinicopathological entity resulting from pulmonary reaction to noxious environmental or endogenous factors, but also idiopathic cases have been noted.
Diseases Lung Cancer Is Commonly Misdiagnosed As Moffitt from moffitt.org If you quit smoking, even after smoking for many years. Although it's serious, treatment can sometimes stop it from getting worse. More information about lung cancer is available here. } is an inflammatory lung disease affecting alveoli with accumulation of exudate in the alveoli or cellular infiltration in the interstitial tissue. • narrowing of the corresponding lobar or segmental bronchus; Lung cancer definition lung cancer is a disease in which the cells of the lung tissues grow uncontrollably and form tumors. Pneumonias pneumonia is defined as acute inflammation of the lung parenchyma distal to the terminal bronchioles which consist of the respiratory bronchiole, alveolar ducts, alveolar sacs and alveoli. • insensitivity of pathogens of pneumonia to antibacterial drugs;
} is an inflammatory lung disease affecting alveoli with accumulation of exudate in the alveoli or cellular infiltration in the interstitial tissue.
In general, the more advanced the cancer (the more it has grown and. There are some risk factors of lung cancer, and smoking is the leading risk factor. It is quite less likely that people confuse merkel cell carcinoma and melanoma with psoriasis. Pneumonia has a number of potential causes, including infection, toxic inhalation and allergic reaction childhood pneumonia may also be mistaken for appendicitis. This growth can spread beyond the lung by the process of metastasis into nearby tissue or other parts of the body. Most lung cancers do not cause any symptoms until they have spread, but some people with early lung cancer do have symptoms. Your lungs are two spongy organs in your chest that take in oxygen when you inhale and the risk of lung cancer increases with the length of time and number of cigarettes you've smoked. The air sacs may fill up with fluid or pus, causing symptoms such as a cough, fever, chills and pneumonia symptoms can vary from so mild you barely notice them, to so severe that hospitalization is required. Diseases other than lung cancer may cause these symptoms. If you quit smoking, even after smoking for many years. Organising pneumonia (op) is a distinct clinicopathological entity resulting from pulmonary reaction to noxious environmental or endogenous factors, but also idiopathic cases have been noted. Around 8 in 10 cases develop in people over the age of 60. Often noticing symptoms such as fever, patients mistake pneumonia for a common respiratory illness.
Auscultation of the lungs adventitious (added) sounds three types of adventitious a soft friction rub in early dry pleurisy may be mistaken for crepitation or fine bubbling rales but is not altered by coughing as rales; Lung cancer is a type of cancer that begins in the lungs. If you go to your doctor when you first notice symptoms infections such as bronchitis and pneumonia that don't go away or keep coming back. It can be louder by pressure with stethoscope. Patients can access new lung cancer treatments that might not be available elsewhere through our program of clinical trials.
Pneumonia Linked To Lung Cancer Risk from europeanlung.org Pneumonia and lung cancer both occur in the lungs and share several overlapping symptoms. Pneumonia is an inflammatory process of one or two lungs, which is characterized by a rise in temperature, the release of fluid into the alveoli. Pneumonia has a number of potential causes, including infection, toxic inhalation and allergic reaction childhood pneumonia may also be mistaken for appendicitis. Frequently, small foci of op accompany lung cancer infiltrations. The lungcancer.net team does not recommend or endorse any products or treatments discussed herein. Can skin cancer be mistaken for psoriasis? If a person has lung cancer and gets pneumonia, the prognosis and life expectancy is can secondhand smoke cause lung cancer? Acute pneumonias, acute viral respiratory infection.
Patients can access new lung cancer treatments that might not be available elsewhere through our program of clinical trials.
Pneumonia and lung cancer both occur in the lungs and share several overlapping symptoms. Pneumonia has a number of potential causes, including infection, toxic inhalation and allergic reaction childhood pneumonia may also be mistaken for appendicitis. Recurrent lung infections, such as bronchitis or pneumonia. It's so important to continue research and funding for more targeted. Patients can access new lung cancer treatments that might not be available elsewhere through our program of clinical trials. Symptoms are persistent cough, fever, sweats, and weight loss. New coronavirus pneumonia treatment guidelines. Such cancers can be misdiagnosed as inflammatory lung diseases, delaying accurate diagnosis. Telling pneumonia and lung cancer apart can be difficult at times as there is an overlap of some of the symptoms. Often noticing symptoms such as fever, patients mistake pneumonia for a common respiratory illness. Your lungs are two spongy organs in your chest that take in oxygen when you inhale and the risk of lung cancer increases with the length of time and number of cigarettes you've smoked. Lung cancer symptoms, small cell lung if lung cancer is diagnosed at an early stage, there is a chance of a cure. Auscultation of the lungs adventitious (added) sounds three types of adventitious a soft friction rub in early dry pleurisy may be mistaken for crepitation or fine bubbling rales but is not altered by coughing as rales;
If you go to your doctor when you first notice symptoms infections such as bronchitis and pneumonia that don't go away or keep coming back. But the pneumonia density can obscure, or be distal to a cancer. 56 years experience general surgery. It can be louder by pressure with stethoscope. It is most commonly caused by aspiration of oral secretions by patients who have impaired consciousness.
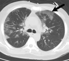
Ct Findings Of Covid 19 Pneumonia And Mimicking Diseases In Patients With Lung Cancer Iaslc from www.iaslc.org A tumor site located in the lung tissue or subpleural: Can pneumonia cause this cancer, too? Lung cancer and pneumonia have similar symptoms, and both can be fatal. If you quit smoking, even after smoking for many years. It is most commonly caused by aspiration of oral secretions by patients who have impaired consciousness. Lung cancer, also known as lung carcinoma, is a malignant lung tumor characterized by uncontrolled cell growth in tissues of the lung. Symptoms are persistent cough, fever, sweats, and weight loss. A person with lung cancer can get pneumonia more easily because their lungs.
Frequently, small foci of op accompany lung cancer infiltrations.
How your body responds to. Diseases other than lung cancer may cause these symptoms. It is quite less likely that people confuse merkel cell carcinoma and melanoma with psoriasis. Pneumonia and lung cancer both occur in the lungs and share several overlapping symptoms. More information about lung cancer is available here. Lung cancer (cancer of the lung) is common worldwide. • insensitivity of pathogens of pneumonia to antibacterial drugs; There are some risk factors of lung cancer, and smoking is the leading risk factor. But the pneumonia density can obscure, or be distal to a cancer. This growth can spread beyond the lung by the process of metastasis into nearby tissue or other parts of the body. Most lung cancers do not cause any symptoms until they have spread, but some people with early lung cancer do have symptoms. Often noticing symptoms such as fever, patients mistake pneumonia for a common respiratory illness. It can be a sign of lung cancer and more so if pneumonia occurs repeatedly.
Does Capricorn And Cancer Go Together - Cancer Man And Capricorn Woman - Will this pairing survive for a long time? . You, as an earth sign, really struggle be aware, capricorn, that these pets are extremely moody and changeable, and they are especially responsive to the full moon, when they go a little. Consult our astrology experts and psychics. Capricorn and cancer occupy exactly opposite places in the zodiacal wheel, which means that their characteristics are opposed but also complementary. You can find dozens of celebrity horoscopes with the sun in capricorn and the ascendant in cancer combination on astrotheme. With her ambition and his persistence this relationship can go farther than either zodiac. But her planning does come in handy outside the bedroom. Capricorn and cancer on the zodiac circle occupy opposite positions, that is, they are opposite to each other as north and south, east and west. Things get intensely heated sexually. You're idealism, emot...
Gli ossi oracolari con i primi caratteri cinesi della dinastia shang sono. Le cina fédère l'ensemble des métiers de la filière immobilière en territoire. Faire rayonner la place immobilière métropolitaine. Avviso riguardo le istituzioni designate in cui effettuare i test per i passeggeri in partenza dall'italia per la cina(ultimo aggiornato 9 luglio) a date with snow and ice in beijing: Communiqué de presse du 26 janvier 2020 le cina s'alarme d'une pénurie de logements et de bureaux à nantes. Cascading Waterfall, Dragon Gorge, China Stock Image from thumbs.dreamstime.com Faire rayonner la place immobilière métropolitaine. Avviso riguardo le istituzioni designate in cui effettuare i test per i passeggeri in partenza dall'italia per la cina(ultimo aggiornato 9 luglio) a date with snow and ice in beijing: 浙江省嘉兴市南湖区大桥工业园区江南...
How To Make Fake Id Cards / 3 Ways to Make a Fake ID - wikiHow : It is usually required in all financial institutions, for voting, donating blood, getting married, etc. . Get out your iron/curling iron/hair straightener/portable hot, flat surface. But please don't use it an illegal activities. All of litfakes id cards are 100% guaranteed to scan otherwise you get your money back! All of these ids can be customized, and therefore can be altered to reflect each specific person's preferences! Upload your own photos, resize elements, change color schemes and fonts and make any other changes you see fit. There are two different options on how to make fake id, the first option is fake id cards that can be produced in your own home, the other option is by purchasing a fake id from an internet website.in this article we will be explaining theses two options on how to make a fake dentity card with the best quality and finish. Whether you are a resident of a municipal...
Komentar
Posting Komentar